부들부들
코로나19 걸리면 골초보다 폐 나빠진다 본문
반응형
텍사스 공대 소속의 외과 전문의인 브리트니 뱅크헤드-켄들 박사는 "그동안 엑스레이 촬영 결과 코로나19 환자의 폐에서 짙은 상흔이 발견되지 않은 적이 드물었고, 애연가들과 비교해 상태가 더 나빴다"고 밝혔다.
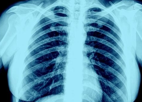
폐 상태가 안 좋을수록 엑스레이상에서 흰색 부분이 많이 나온다.
정상적인 폐는 대개 검은색인데, 이는 공기가 많이 들어가 있는 건강한 상태를 의미한다.
반면 애연가의 폐는 상흔과 충혈 때문에 흰색 부위가 곳곳에서 나타나며, 코로나19 환자의 경우 폐 전체가 거의 흰색으로 나왔다고 그는 설명했다.
또 무증상 감염자라고 해도 엑스레이 촬영 결과 폐에서 심한 상흔이 발견되는 비율은 70∼80%에 달한다고 그는 덧붙였다.

뱅크헤드-켄들 박사는 지난해 3월부터 코로나19 감염자 수천명을 치료했다고 CBS는 전했다.
한번 코로나19에 감염되면 장기간 폐 질환에 시달릴 수 있다고 전문가들은 경고한다.
존스홉킨스 블룸버그 공중보건대학원의 아메시 아달자 박사는 "코로나19 환자는 심한 폐렴에 걸릴 수 있는데 이는 장기간 또는 영구적인 치료가 필요한 폐 손상으로 이어질 수 있다"고 말했다.
뱅크헤드-켄들 박사는 "완치 후에도 호흡이 짧아진 것을 느끼면 지속적으로 주치의와 상의해야 한다"며 "백신의 부작용이 코로나19가 장기적으로 미칠 영향보다 나쁠 수는 없다"며 백신 접종을 당부했다.
반응형
'리빙' 카테고리의 다른 글
| 로또 당첨 대학생 후기 (0) | 2021.01.21 |
|---|---|
| 변호사가 말하는 알페스의 법적인 처벌 (0) | 2021.01.20 |
| 모더나 ceo 코로나 영원히 안 사라진다 (0) | 2021.01.17 |
| 러시아 케이크 달인 (0) | 2021.01.16 |
| 똥 제대로 닦는 법 feat. 항문외과전문의 (0) | 2021.01.15 |
Comments